色漫网

欢迎您!访问色漫网 官网
中文EN

热点推荐

【骨科案例】脊柱结核案例
作者:admin 来源:本站原创 日期:2020-11-12 字体:

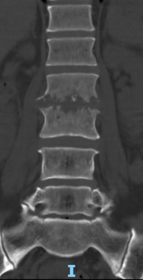
  患者张某某,男性,51岁,云南曲靖人。患者自诉1月前不明显诱因出现腰部疼痛,并且进行性加重,活动后明显加重,在当地县中医院就诊行针灸等治疗无好转,后到县医院行腰椎MRI等检查显示:腰2、3椎体及椎旁软组织异常信号,结核、其他感染病变不能排除。后为进一步诊治,到昆明某医院就诊并住院治疗,行“L3椎体穿刺活检术”,病理报告提示:慢性炎性细胞浸润,诊断为:腰2、 3椎体感染,予静脉应用抗生素抗感染等治疗一周,出院后继续在当地继续抗感染治疗。


术前腰椎CT

术前腰椎MRI

术后X线片

  患者出院后感腰部疼痛持续加重,到色漫网 门诊就诊,以“腰椎感染”收住入院。患者发病后腰椎CT及MRI均提示腰2-3椎间隙变窄,椎板破坏,综合以上资料诊断”腰椎结核”。入院后经口服四联抗结核药物治疗3周,患者自觉腰部疼痛减轻,午后无发热及盗汗后,在全麻下行颈后路病灶清除、椎间植骨、椎弓根钉棒系统内固定术。手术顺利,术后继续抗结核治疗。患者恢复顺利,术后1周下床活动,无特殊不适。术后2周拆线、出院,院外继续口服抗结核药物治疗,定期门诊复查。

色漫网风采

科室导航

医生团队

就医导航

特色诊疗

报告查询

医保政策

联系我们

友情链接

环境信息公开

医院地址:云南省昆明市广福路1099号 网站地图
乘车路线:1、乘K15、196、78、24、53、208路公交车到色漫网 (广福路)站;2、乘地铁5号线到庄家塘立交桥地铁A口出站 色漫网-成人色漫免费观看网站 版权所有 Copyright © 2014-2050 Inc.ALL rights reserved 云卫网审【2009】017号,滇ICP备09011568号-1