色漫网

欢迎您!访问色漫网 官网
中文EN

热点推荐

医生,自体动静脉内瘘手术是怎样做的?
作者:admin 来源:本站原创 日期:2022-02-24 字体:

  1、医生,自体动静脉内瘘手术是怎样做的?

  自体动静脉内瘘是通过外科手术的方法将动脉与静脉吻合。最常见的吻合方式有端侧吻合,其次还有端端吻合,侧侧吻合。以手腕部头静脉桡动脉端侧吻合为例,操作过程如下:


  ①患者取仰卧位,手术侧上肢平放在手术操作台上,经术前评估血管后画出血管大致走行,定位切口。


  ②手臂消毒、铺巾后,采用局部麻醉,在定位好的切口走行处切开皮肤,依次分离出静脉与动脉。


  ③将游离好的头静脉,远心端结扎后斜行剪断,斜面应与桡动脉走行平行,近心端用稀肝素盐水冲洗,测试静脉通畅情况;然后血管夹临时阻断静脉;将桡动脉两端用血管夹临时阻断,11尖刀片侧切桡动脉,眼科剪沿血管侧切口剪开约6-10mm的纵向切口;最后将头静脉与桡动脉行端侧吻合。


  ④吻合后松开血管夹,可用手触摸到吻合口有血管震颤,说明动静脉内瘘通畅,手术成功。在内瘘手术前需要专业的血管通路医生进行充分的血管评估以及通路的设计,首次内瘘手术的评估与规划十分关键。


  2、医生,人工血管移植内瘘手术是怎样做的?

  人工血管移植内瘘手术主要适用于血管条件无法满足建立自体动静脉内瘘的患者,人工血管移植内瘘大多先在前臂建立。选取符合条件的动脉与静脉,常规消毒铺巾,局部浸润麻醉起效后,切开皮肤,分离动脉与静脉,血管两端临时阻断;将人工血管沿皮下隧道置入皮下;然后将人工血管两端先后与静脉及动脉行端侧吻合,开放血流。术后,在透析使用时穿刺人工血管即可。


  3、医生,临时导管和长期导管有什么区别?

  临时导管又称无隧道、无涤纶套透析导管 (non-cuffed catheter,NCC),在置管的过程中导管通过皮肤直接进入到深静脉。长期导管又称带隧道和涤纶套的透析导管(tunnel-cuffed catheter,TCC),导管在置入体内时,需要在皮下建立一个隧道,再进入深静脉,在导管皮肤出口的2-3cm处有一个涤纶套,起到固定导管的作用。二者区别主要在材质和结构上,临时导管多采用聚氨酯或聚乙烯作为材料,质地较硬。长期导管多采用硅胶或优化聚氨酯材料,质地较柔软。在结构上由于长期导管置管后带有隧道和涤纶套,大大降低了感染风险。柔软的材质对中心静脉损伤相对较小,所以我们建议在内瘘成熟前使用长期导管作为血液透析过渡通路。


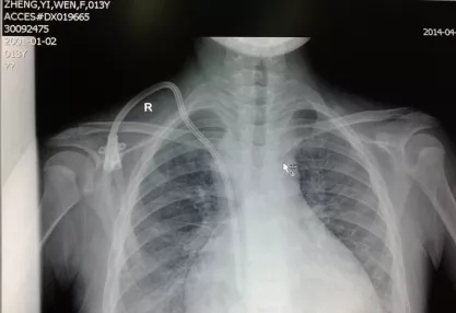
  颈外静脉长期导管术后胸部X片▲

色漫网风采

科室导航

医生团队

就医导航

特色诊疗

报告查询

医保政策

联系我们

友情链接

环境信息公开

医院地址:云南省昆明市广福路1099号 网站地图
乘车路线:1、乘K15、196、78、24、53、208路公交车到色漫网 (广福路)站;2、乘地铁5号线到庄家塘立交桥地铁A口出站 色漫网-成人色漫免费观看网站 版权所有 Copyright © 2014-2050 Inc.ALL rights reserved 云卫网审【2009】017号,滇ICP备09011568号-1